海院科研动态(153)| PNAS:揭秘弹状病毒跨物种感染的“通用钥匙孔”-四次跨膜蛋白CD9
近日,我院海洋生物技术和遗传资源团队联合我校生命科学学院、医学院及以色列特拉维夫大学,在《Proceedings of the National Academy of Sciences of the United States of America》发表了题为“Conserved use of tetraspanin CD9 as an entry receptor by rhabdoviruses spanning multiple genera”的重要研究论文,首次鉴定出四次跨膜蛋白CD9是跨属弹状病毒入侵宿主的“通用钥匙孔”,并证实已上市药物硝唑尼特(NTZ)有望成为防治此类病毒的广谱药物,为水产养殖、畜禽疫病及相关人畜共患病防控提供全新理论基础与应用方案。

研究结果
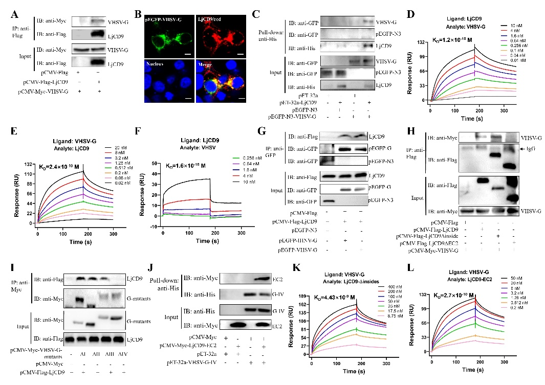
该研究不仅证实了鱼类CD9是上述三种病毒感染鱼类的共用受体,更突破性地发现,人CD9同样是VSV感染哺乳动物的关键受体,创新性地提出了“弹状病毒跨属保守受体共享”理论。这一发现挑战了领域内“弹状病毒受体具有严格种属特异性”的固有认知,不仅从分子水平确证了弹状病毒利用宿主保守因子进行跨界扩张的演化机制,也为创制具有“广谱抗病能力”的海水鱼类新种质提供了关键靶标。

图1 实验证明海鲈CD9和VHSV G蛋白直接结合
同时,本研究团队发现,硝唑尼特这款已获批的抗寄生虫老药,能竞争性结合弹状病毒的G蛋白,封堵病毒入侵的“钥匙”,让它无法再与CD9蛋白结合、侵入细胞。实验显示,这款药物在实验室中能有效抑制多种弹状病毒,还能让感染鱼类弹状病毒的海鲈存活率从1.88%大幅提升至76.2%,且细胞毒性低,安全性有保障。

图2 CD9介导弹状病毒入侵示意图
研究意义
本研究首次鉴定出四次跨膜蛋白CD9是跨属弹状病毒入侵宿主的“通用钥匙孔”,并证实已上市药物硝唑尼特(NTZ)有望成为防治此类病毒的广谱药物,为水产养殖、畜禽疫病及相关人畜共患病防控提供全新理论基础与应用方案。
这一研究发现不仅揭开了弹状病毒广谱感染的分子奥秘,还找到了防控这类病毒的通用靶点CD9蛋白,而硝唑尼特的“老药新用”,也为弹状病毒病的快速防控提供了便捷、高效的候选药物,为后续广谱抗病毒药物研发奠定了重要基础。
文章相关信息
我院张弯弯特聘副研究员和2025级博士生孙冰冰为该论文的共同第一作者,贾坤同、易梅生教授和生命科学学院郭长军教授为该论文共同通讯作者。我校医学院张萍教授和以色列特拉维夫大学Eran Bacharach教授等也参与该项研究工作。
该研究得到国家自然科学基金(中国-以色列国际合作项目(NSFC-ISF)、面上项目)、国家重点研发计划、广东省特支计划青年拔尖人才项目以及水产动物疫病防控与健康养殖全国重点实验室开放课题等项目的资助。


